URGENT UPDATE: Two alarming cases of infant meningitis linked to a newly identified pathogen, Paenibacillus, have emerged, raising critical concerns about diagnosis and treatment methods across the United States. Reports from the Penn State College of Medicine highlight severe neurologic injuries resulting from these infections, prompting immediate attention from health officials.
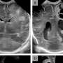
In earlier reports from Uganda, the Paenibacillus bacterium was associated with devastating neonatal infections, which included abnormal accumulation of cerebrospinal fluid, seizures, and significant brain damage. As of now, similar cases have surfaced in multiple states across the U.S., indicating a troubling trend that could impact infant healthcare on a national scale.
Authorities are sounding the alarm as routine antibiotic treatments for infant bacteremia and meningitis may be ineffective against this emerging pathogen. Health experts are urging pediatricians and hospitals to reevaluate their treatment protocols to better address the complexities introduced by Paenibacillus.
The first cases were identified recently, and with the rising number, health professionals are racing against time to develop effective diagnostic tools and treatment plans. Parents are advised to be vigilant for symptoms such as unusual lethargy, seizures, or changes in feeding habits in infants.
Healthcare experts are calling for heightened awareness and research into this pathogen as it poses significant risks to vulnerable populations. The situation is evolving rapidly, and updates are expected as more data becomes available.
As this story develops, health officials stress the importance of immediate reporting and response to any suspected cases of meningitis linked to Paenibacillus. This urgent health alert serves as a reminder of the need for ongoing vigilance in the fight against emerging infectious diseases.
Stay tuned for more updates as health authorities continue to monitor this critical situation.
